C-nest

 

Aglia Tau Tara van de Vlinderdoes

Dolle Dorus Gijs van de Zeeuwse Strange

Pups geboren 19 februari 2021

 

Dorus

Linde

Lotus


Lotus en Linde 2 jaar en 5 maanden

Lotus 5 maanden oud

Dorus 5 maanden oud

 

Linde 5 maanden oud

 

Teef Callicore Cato van de Vlinderdoes

Teef Callicore Lotus van de Vlinderdoes

Reu Callicore Dorus van de Vlinderdoes

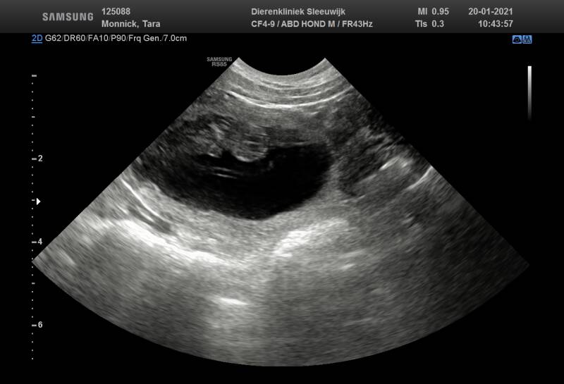
Yes!!! De drachtecho op 20 januari 2021 heeft laten zien dat Tara en Gijs pupjes verwachten

Op 21 en 22 december 2020 hebben Gijs en Tara 2 goede dekkingen gehad

nu gaan we wachten tot de echo of ze pupjes gaan krijgen

 

 

 

 

We wachten nu op een succesvolle dekking van Aglia Tau Tara van de Vlinderdoes en Dolle Dorus Gijs van de Zeeuwse Strange

 

Gijs (Dolle Doris Gijs van de Zeeuwse Strange)

Geboortedatum: 15-01-2012
Hoogte: 46,5 cm
Pra: ++
HD: A
ED: vrij
DNA getest
ECVO : vrij 02-12-2019 getest
Fokgeschikt volgens de Vereniging Nederlandse Schapendoes

 

 

Tara (Aglia Tau Tara van de Vlinderdoes)

Geboortedatum: 30-08 -2017

Hoogte: 46 cm

DNA gestest

ECVO: vrij 04-02-2019 getest

Fokgeschikt volgens de Vereniging Nederlandse

Schapendoes

 

 

 

 

 

 

 

 

 

 

 

 

 

 

 

 

 

 

 

 

 

 

Maak jouw eigen website met JouwWeb